Strahlentherapie

Modernste Medizintechnik gegen gutartige und bösartige Erkrankungen

Im Zentrum für Strahlentherapie Südwestpfalz nutzen wir für die Behandlung sowohl gutartiger als auch bösartiger Erkrankungen einen hochmodernen Varian Linearbeschleuniger.

Durch den Einsatz fortschrittlicher Medizintechnik wird die Bestrahlung präzise auf das betroffene Gewebe fokussiert, während gesundes umliegendes Gewebe bestmöglich geschont wird.

Dank der bildgeführten und oberflächengestützten Strahlentherapie erfolgt diese Behandlung deutlich zielgenauer als bei herkömmlichen Verfahren. Zudem wird im Zentrum für Strahlentherapie in der Regel auf Hautmarkierungen verzichtet, was den Komfort während der Behandlung für unsere Patienten steigert. Gleichzeitig erhöht sich die Sicherheit der Patientenlagerung während der Bestrahlung. Die Strahlentherapie stellt eine hochwirksame Behandlungsoption dar, die strengen Sicherheitsstandards unterliegt.

Jeder Bestrahlungsablauf wird sorgfältig in Zusammenarbeit zwischen Ärzten, Medizinphysikexperten (MPE) und Medizinischen Technikern der Radiologie (MTR) geplant. Vor der Durchführung der Bestrahlung wird jeder Behandlungsplan in einer virtuellen Simulation sowie mit speziellen Messsystemen am Bestrahlungsgerät gründlich überprüft. Nur wenn der Plan sämtliche strengen Vorgaben erfüllt, erhält er die Genehmigung zur Anwendung am Patienten. Dieser Prozess gewährleistet eine hohe Sicherheit für unsere Patienten und ist integraler Bestandteil unseres Qualitätssicherungssystems, das auf den Richtlinien der Deutschen Gesellschaft für medizinische Physik sowie auf Empfehlungen aus aktuellen wissenschaftlichen Studien basiert.

Sollte im Verlauf der Therapie beispielsweise eine Gewichtszunahme oder -abnahme bei den Patienten auftreten oder eine Tumorverkleinerung festgestellt werden, wird der Bestrahlungsplan entsprechend angepasst. Die Positionierung der Patienten wird durch hochmoderne Oberflächensysteme sowohl vor als auch während der täglichen Bestrahlungssitzung überwacht, sodass die Behandlung stets kontrolliert abläuft.

Unseren Patienten wird damit eine präzise, sichere und schonende Behandlung auf höchstem medizinischem und fachlichem Niveau ermöglicht.

Moderne Strahlentherapie ist ein wichtiger Bestandteil in der Tumorbehandlung

Unsere Praxis stellt Ihnen neben etablierten Verfahren auch spezielle, ergänzende Bestrahlungstechniken zur Verfügung, die für die Behandlung spezifischer Krebsarten geeignet sind (IMRT, RapidArc®, atemgesteuerte Bestrahlung, Stereotaxie). Die Entscheidung, welche Therapie letztendlich angewendet wird, basiert in erster Linie auf der Art und dem Schweregrad der Krebserkrankung.

Bei vielen Krebserkrankungen können mehrere Therapieverfahren miteinander kombiniert werden, um die Wirksamkeit der Krebsbehandlung zu erhöhen. Hierzu gehören zum Beispiel die Operation oder eine medikamentöse Therapie wie die Chemotherapie, Immuntherapie oder Hormontherapie.

3D-konformale Strahlentherapie (3D-CRT)

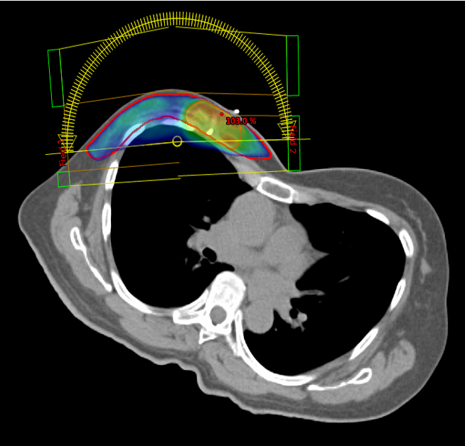
Brustkrebs Bestrahlung Schräglage

Die 3D-konformale Strahlentherapie (3D-CRT) ermöglicht es, einen Tumor durch verschiedene Bestrahlungsfelder mit unterschiedlichen Einstrahlwinkeln zu behandeln. Dabei wird das Tumorgebiet präzise bestrahlt, während die angrenzenden Organe und Risikostrukturen wie Herz, Lunge, Darm, Harnblase, Augen, Speicheldrüsen, Hirnstamm oder Rückenmark bestmöglich geschont werden.

In vielen Bereichen der Medizin können mit dieser Methode hervorragende Behandlungsergebnisse erzielt werden.

Die 3D-CRT stellt die Grundlage jeder strahlentherapeutischen Therapie dar.

Weitere Informationen über unser Behandlungsangebot